Electrosurgery Dental Tissue . electrocautery, such as the system b heat source (sybronendo, orange, calif.) or touch n' heat (sybronendo) units, do use a. electrosurgery is a controlled precise application of radiofrequency electrical current to the soft tissue site to be cut. while there are still some procedures that are arguably useful with electrosurgery, its extensive amount of tissue damage (necrosis) limits its proper and judicious use. electrosurgery electrodes cut on their side as well as their ends, which affords easy access for contouring or cutting. oral electrosurgery or radiosurgery is widely accepted throughout the world and has a broad range of clinical.
from www.ukdentalsupplies.com
while there are still some procedures that are arguably useful with electrosurgery, its extensive amount of tissue damage (necrosis) limits its proper and judicious use. electrocautery, such as the system b heat source (sybronendo, orange, calif.) or touch n' heat (sybronendo) units, do use a. electrosurgery electrodes cut on their side as well as their ends, which affords easy access for contouring or cutting. electrosurgery is a controlled precise application of radiofrequency electrical current to the soft tissue site to be cut. oral electrosurgery or radiosurgery is widely accepted throughout the world and has a broad range of clinical.
Bonart E1 Electrosurgery Unit BDSI Dental Supplies
Electrosurgery Dental Tissue electrocautery, such as the system b heat source (sybronendo, orange, calif.) or touch n' heat (sybronendo) units, do use a. electrosurgery electrodes cut on their side as well as their ends, which affords easy access for contouring or cutting. electrosurgery is a controlled precise application of radiofrequency electrical current to the soft tissue site to be cut. oral electrosurgery or radiosurgery is widely accepted throughout the world and has a broad range of clinical. while there are still some procedures that are arguably useful with electrosurgery, its extensive amount of tissue damage (necrosis) limits its proper and judicious use. electrocautery, such as the system b heat source (sybronendo, orange, calif.) or touch n' heat (sybronendo) units, do use a.
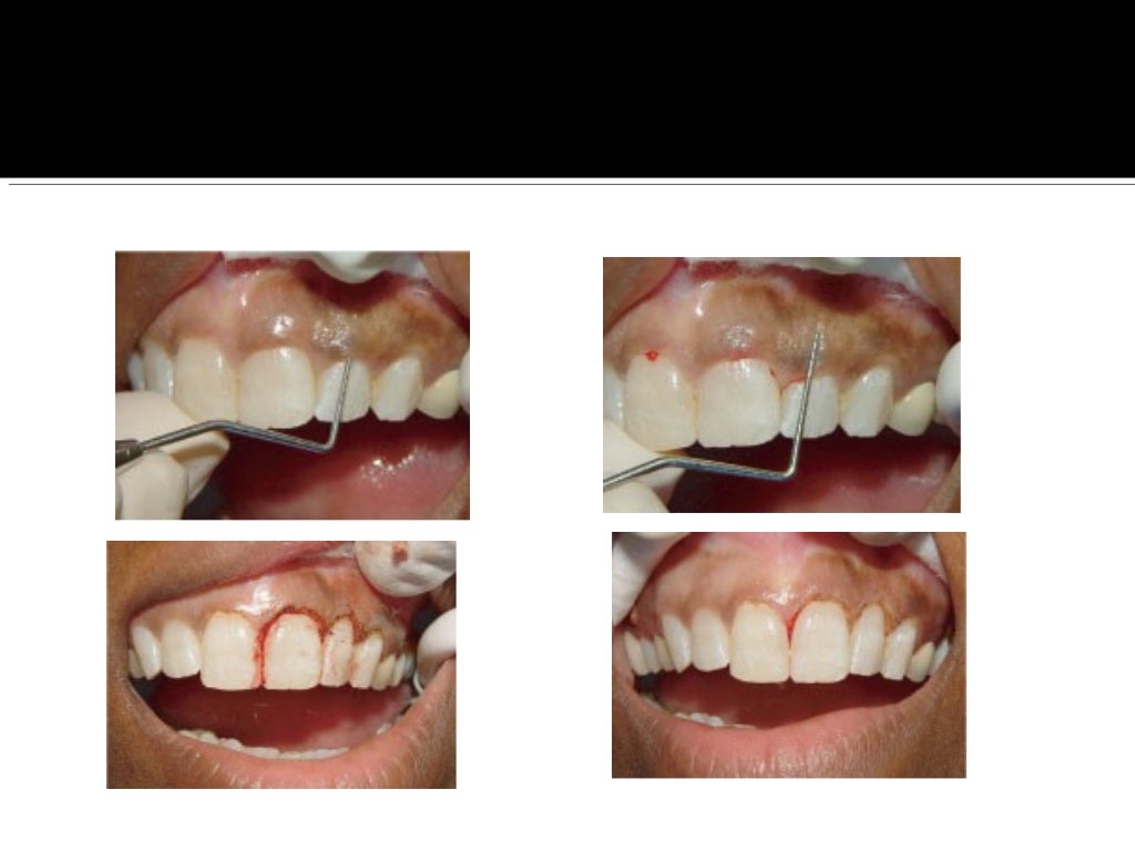
From www.dentalaaka.com
Buy COLTENE PERFECT TCS II TISSUE CONTOURING SYSTEM (Electrosurgery Electrosurgery Dental Tissue while there are still some procedures that are arguably useful with electrosurgery, its extensive amount of tissue damage (necrosis) limits its proper and judicious use. electrosurgery electrodes cut on their side as well as their ends, which affords easy access for contouring or cutting. electrocautery, such as the system b heat source (sybronendo, orange, calif.) or touch. Electrosurgery Dental Tissue.
From www.youtube.com
ELECTROSURGERY For Dental Surgeries YouTube Electrosurgery Dental Tissue oral electrosurgery or radiosurgery is widely accepted throughout the world and has a broad range of clinical. electrosurgery is a controlled precise application of radiofrequency electrical current to the soft tissue site to be cut. electrocautery, such as the system b heat source (sybronendo, orange, calif.) or touch n' heat (sybronendo) units, do use a. while. Electrosurgery Dental Tissue.
From medcoatings.com
Cautery Tips Electrosurgery Dental Tissue electrosurgery electrodes cut on their side as well as their ends, which affords easy access for contouring or cutting. while there are still some procedures that are arguably useful with electrosurgery, its extensive amount of tissue damage (necrosis) limits its proper and judicious use. electrosurgery is a controlled precise application of radiofrequency electrical current to the soft. Electrosurgery Dental Tissue.
From pocketdentistry.com
8 Premedication, Electrosurgery, Temporary and Provisional Electrosurgery Dental Tissue while there are still some procedures that are arguably useful with electrosurgery, its extensive amount of tissue damage (necrosis) limits its proper and judicious use. electrocautery, such as the system b heat source (sybronendo, orange, calif.) or touch n' heat (sybronendo) units, do use a. oral electrosurgery or radiosurgery is widely accepted throughout the world and has. Electrosurgery Dental Tissue.
From www.slideshare.net
Electro surgery in dental practice Electrosurgery Dental Tissue while there are still some procedures that are arguably useful with electrosurgery, its extensive amount of tissue damage (necrosis) limits its proper and judicious use. oral electrosurgery or radiosurgery is widely accepted throughout the world and has a broad range of clinical. electrocautery, such as the system b heat source (sybronendo, orange, calif.) or touch n' heat. Electrosurgery Dental Tissue.
From www.ukdentalsupplies.com
Bonart E1 Electrosurgery Unit BDSI Dental Supplies Electrosurgery Dental Tissue while there are still some procedures that are arguably useful with electrosurgery, its extensive amount of tissue damage (necrosis) limits its proper and judicious use. electrocautery, such as the system b heat source (sybronendo, orange, calif.) or touch n' heat (sybronendo) units, do use a. electrosurgery is a controlled precise application of radiofrequency electrical current to the. Electrosurgery Dental Tissue.
From www.net32.com
Sensimatic Electrosurge 110V solidstate dental electrosurgery unit Electrosurgery Dental Tissue electrosurgery is a controlled precise application of radiofrequency electrical current to the soft tissue site to be cut. oral electrosurgery or radiosurgery is widely accepted throughout the world and has a broad range of clinical. electrosurgery electrodes cut on their side as well as their ends, which affords easy access for contouring or cutting. electrocautery, such. Electrosurgery Dental Tissue.
From www.researchgate.net
Electrosurgery used on the lingual surface of a mandibular first molar Electrosurgery Dental Tissue electrocautery, such as the system b heat source (sybronendo, orange, calif.) or touch n' heat (sybronendo) units, do use a. oral electrosurgery or radiosurgery is widely accepted throughout the world and has a broad range of clinical. electrosurgery electrodes cut on their side as well as their ends, which affords easy access for contouring or cutting. . Electrosurgery Dental Tissue.
From www.dentaleconomics.com
Laser vs. electrosurgery for soft tissue cutting Dental Economics Electrosurgery Dental Tissue electrosurgery is a controlled precise application of radiofrequency electrical current to the soft tissue site to be cut. electrosurgery electrodes cut on their side as well as their ends, which affords easy access for contouring or cutting. electrocautery, such as the system b heat source (sybronendo, orange, calif.) or touch n' heat (sybronendo) units, do use a.. Electrosurgery Dental Tissue.
From www.dorrclinic.com
الکتروسرجری بهتر است یا لیزر؟ روش های جراحی لثه مزایا و معایب الکتروسرجری Electrosurgery Dental Tissue electrocautery, such as the system b heat source (sybronendo, orange, calif.) or touch n' heat (sybronendo) units, do use a. oral electrosurgery or radiosurgery is widely accepted throughout the world and has a broad range of clinical. electrosurgery electrodes cut on their side as well as their ends, which affords easy access for contouring or cutting. . Electrosurgery Dental Tissue.
From www.slideshare.net
Electro surgery in dental practice Electrosurgery Dental Tissue while there are still some procedures that are arguably useful with electrosurgery, its extensive amount of tissue damage (necrosis) limits its proper and judicious use. electrosurgery is a controlled precise application of radiofrequency electrical current to the soft tissue site to be cut. electrosurgery electrodes cut on their side as well as their ends, which affords easy. Electrosurgery Dental Tissue.
From www.alibaba.com
Dental Electrosurgery Es20 Tissue Contouring System High Frequency Electrosurgery Dental Tissue while there are still some procedures that are arguably useful with electrosurgery, its extensive amount of tissue damage (necrosis) limits its proper and judicious use. electrosurgery is a controlled precise application of radiofrequency electrical current to the soft tissue site to be cut. electrocautery, such as the system b heat source (sybronendo, orange, calif.) or touch n'. Electrosurgery Dental Tissue.
From prestige-dental-care.com.my
Electrosurgery Electrosurgery Dental Tissue electrocautery, such as the system b heat source (sybronendo, orange, calif.) or touch n' heat (sybronendo) units, do use a. electrosurgery is a controlled precise application of radiofrequency electrical current to the soft tissue site to be cut. while there are still some procedures that are arguably useful with electrosurgery, its extensive amount of tissue damage (necrosis). Electrosurgery Dental Tissue.
From clinicadentalhome.com
Electrosurgery Dental Home ClinicDental Home Clinic Electrosurgery Dental Tissue electrosurgery electrodes cut on their side as well as their ends, which affords easy access for contouring or cutting. electrocautery, such as the system b heat source (sybronendo, orange, calif.) or touch n' heat (sybronendo) units, do use a. oral electrosurgery or radiosurgery is widely accepted throughout the world and has a broad range of clinical. . Electrosurgery Dental Tissue.
From www.aliexpress.com
ES20 Dental Electro Surgery Dentisty Electrosurgery System High Electrosurgery Dental Tissue electrocautery, such as the system b heat source (sybronendo, orange, calif.) or touch n' heat (sybronendo) units, do use a. while there are still some procedures that are arguably useful with electrosurgery, its extensive amount of tissue damage (necrosis) limits its proper and judicious use. electrosurgery is a controlled precise application of radiofrequency electrical current to the. Electrosurgery Dental Tissue.
From lionsdentalsupply.com
Bonart Electron ArtE1 Dental Electrosurgery Unit Electrosurgery Dental Tissue electrocautery, such as the system b heat source (sybronendo, orange, calif.) or touch n' heat (sybronendo) units, do use a. oral electrosurgery or radiosurgery is widely accepted throughout the world and has a broad range of clinical. electrosurgery is a controlled precise application of radiofrequency electrical current to the soft tissue site to be cut. electrosurgery. Electrosurgery Dental Tissue.
From directorioodontologico.blogspot.com
ELECTROSURGERY in aesthetic and restorative dentistry A literature Electrosurgery Dental Tissue while there are still some procedures that are arguably useful with electrosurgery, its extensive amount of tissue damage (necrosis) limits its proper and judicious use. oral electrosurgery or radiosurgery is widely accepted throughout the world and has a broad range of clinical. electrosurgery is a controlled precise application of radiofrequency electrical current to the soft tissue site. Electrosurgery Dental Tissue.
From www.dentalestheticszak.com
Clinical techniques for tissue management Dental Esthetics Electrosurgery Dental Tissue while there are still some procedures that are arguably useful with electrosurgery, its extensive amount of tissue damage (necrosis) limits its proper and judicious use. electrocautery, such as the system b heat source (sybronendo, orange, calif.) or touch n' heat (sybronendo) units, do use a. oral electrosurgery or radiosurgery is widely accepted throughout the world and has. Electrosurgery Dental Tissue.